The Wayne & Havertown Dentist Crafting Legendary Smiles
Exceptional care,
beautiful smiles
Welcome to Legendary Smiles! As husband and wife, we built this practice together with one shared purpose: to care for people, not just teeth. Every visit is a chance for us to combine health, artistry, and comfort in a way that helps you feel confident and ready to share your best smile with the world.
Dentists & Owners of Legendary Smiles
Why patients call us “legendary”
The art of your personal journey
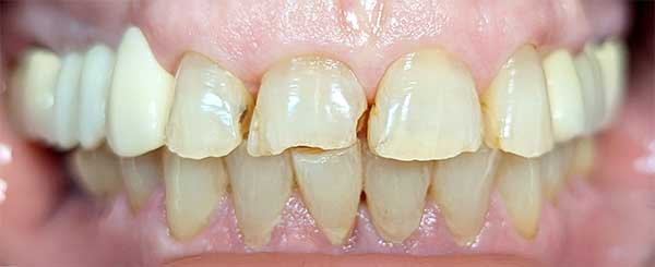
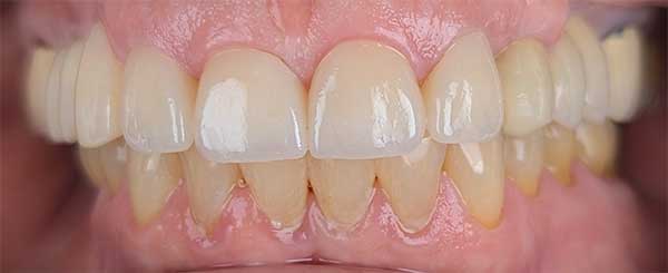
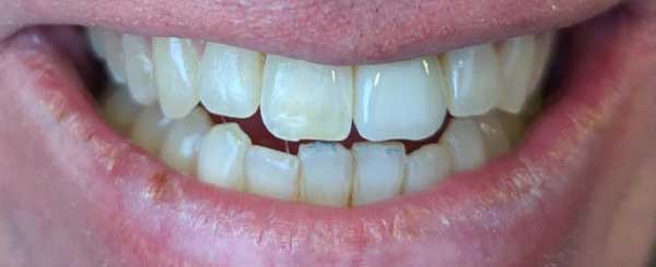
A healthy smile is the foundation of a good life, but a transformative smile is the catalyst for a legendary one. We’re proud to be your trusted Wayne and Havertown dentist, caring for families and crafting smiles with precision and artistry.
Need care right now?
We’re here for you.✴︎
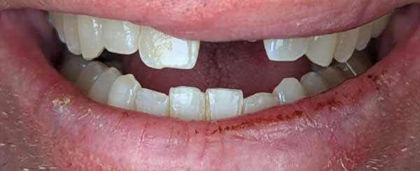
Whether you’re in pain, chipped a tooth, or facing unexpected damage, our Wayne and Havertown dentists reserve time each day for urgent visits. We’ll relieve your pain fast, restore your comfort, and help you feel like yourself again.
Call us now — same-day appointments available.
We’re honored to be part of
your smile story
What makes our smiles legendary?
We see your true potential
From checkups to transformations, we bring out your best smile.
Big changes feel easy
We guide you through cosmetic and orthodontic care with clarity and confidence.
Artistry in every detail
Every treatment is crafted with precision for natural, lasting results.
The joy of your reveal
We live for the moment your confidence shines through.
The blueprint consultation →
Technology designed around you →
Precision without the mess
Digital scans and 3D imaging for flawless accuracy and comfort.
Pain-free confidence
Advanced anesthesia and gentle techniques for stress-free care.
Faster, gentler healing
Laser treatments for minimal discomfort and quicker recovery.
Clear costs, confident care
Enjoy upfront pricing, personalized estimates, and flexible payment options. We accept cash, checks, credit cards, and offer financing with CareCredit, Sunbit, and Proceed Finance.
Prefer simplicity? Our in-house membership plan covers routine care at one flat rate.
We accept most insurance plans
We’re in-network with Delta Dental Premier and work with most major PPOs. Not sure if you’re covered? Call us, and we’ll happily confirm your benefits.
FAQs →
Who’s the dentist here?
What makes you different from other dentists?
We call it the art of the personal journey. Your story becomes our blueprint. We listen to your goals, design a plan that feels authentically yours, and guide you every step of the way.
What if I haven’t been to the dentist in years?
You’re not alone, and you’re always welcome here. Whether it’s been months or decades, we’ll meet you exactly where you are. Your first visit is judgment-free and focused on understanding your needs, rebuilding trust, and creating a comfortable plan to get your oral health (and confidence) back on track.
Can I get in quickly if I’m in pain?
Yes, urgent visits are built into our schedule so we can often see you the same day.
I’m anxious about dental visits. How will you help?
We understand how you feel. With gentle care, cozy comforts, and a team that truly listens, we’ll help you feel calm and cared for from the moment you arrive.
What services do you offer?
We provide comprehensive general and cosmetic dentistry, including:
Do you accept insurance?
Yes. We’re in-network with Delta Dental Premier and work with most major PPO plans. If you don’t have insurance, we also offer transparent pricing, flexible financing, and our in-house membership plan for easy, predictable care.
Do you have special offers for new patients?
Yes! Right now we’re offering:
- Free Invisalign consult + whitening
- $750 off dental implants + free 3D scan
- $500 off 6+ veneers + digital smile preview
Visit our new patients page or call us to learn more — these change seasonally!
What age groups do you see?
Our Wayne & Havertown dentist welcomes patients of all ages, offering family, restorative, and cosmetic care with warmth and expertise.
How do I start?
Begin with our blueprint consultation at our Wayne & Havertown dentist office, where advanced diagnostics meet a clear, personalized plan for your most confident smile.
Visit Legendary Smiles
Looking for a Wayne or Havertown dentist who feels more like a private atelier? Step into a refined experience designed around artistry, comfort, and you.
Havertown
1330 West Chester Pike,
Havertown, PA 19083
Tuesday: 8am – 3pm
Wednesday: 8am – 6pm
Thursday: 8am – 3pm
Friday: 8am – 2pm
Wayne
308 Lancaster Avenue
Wayne, PA 19087
Tuesday: 10am – 6pm
Thursday: 10am – 6pm
Friday: 10am – 6pm
Ready for
the reveal?
Discover the extraordinary smile that’s always been yours.














